Smile Gallery

The image shows a close-up of a person s mouth with yellow teeth, some of which are missing, and a partial smile revealing stained and damaged enamel.

Before

A close-up photo of a person s smiling mouth showing white teeth and gums.

After

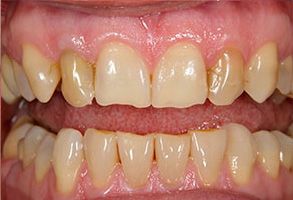
The image shows a close-up view of a person s teeth with yellowing and staining, indicating poor oral hygiene or dental issues.

Before

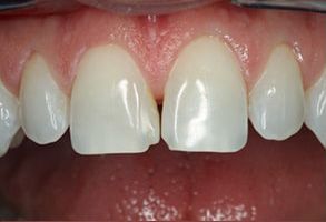
The image shows a close-up view of a person s teeth with yellowing, indicating possible dental issues such as staining or decay.

After

Alt text  A close-up photo of a person s mouth with a crooked tooth and a smile.

Before

The image shows a close-up of a person s mouth with teeth, displaying a smile with a visible gap between two front teeth.

After

The image shows a close-up view of a person s teeth with a focus on dental work, specifically a bridge with artificial teeth, set against a red background that appears to be a mouthguard or dental appliance.

Before

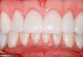
The image shows a close-up view of a person s teeth, with a focus on the lower front teeth which appear to be veneered or cosmetically enhanced, set against the background of their gums and lips.

After

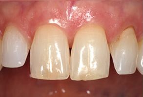
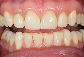
The image shows a close-up view of a person s mouth with visible yellowing on the teeth, suggesting poor oral hygiene or possible dental issues.

Before

The image displays a close-up view of a person s teeth with a focus on an area where a dental implant appears to be missing, revealing the underlying bone structure, with the rest of the mouth showing healthy gums and teeth.

After

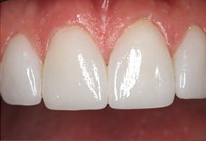
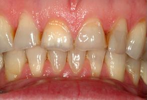
The image shows a close-up view of a person s teeth with a focus on a yellowish discoloration, particularly around the front teeth, which appear to be undergoing cosmetic dental treatment.

Before

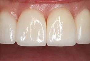
The image shows a close-up of a person s teeth with a focus on a large front tooth, possibly highlighting dental work or a specific aspect of oral health care.

After

The image shows a close-up view of a person s mouth with teeth showing signs of decay and discoloration, emphasizing the need for dental care.

Before

The image displays a close-up view of an individual s teeth with a focus on a large gap between two front teeth, which are prominently visible against the background of the mouth.

After